Single-unit restorations
(Mandible /
Posterior /
Edentulous)
Replacement of a fixed partial denture with three implants
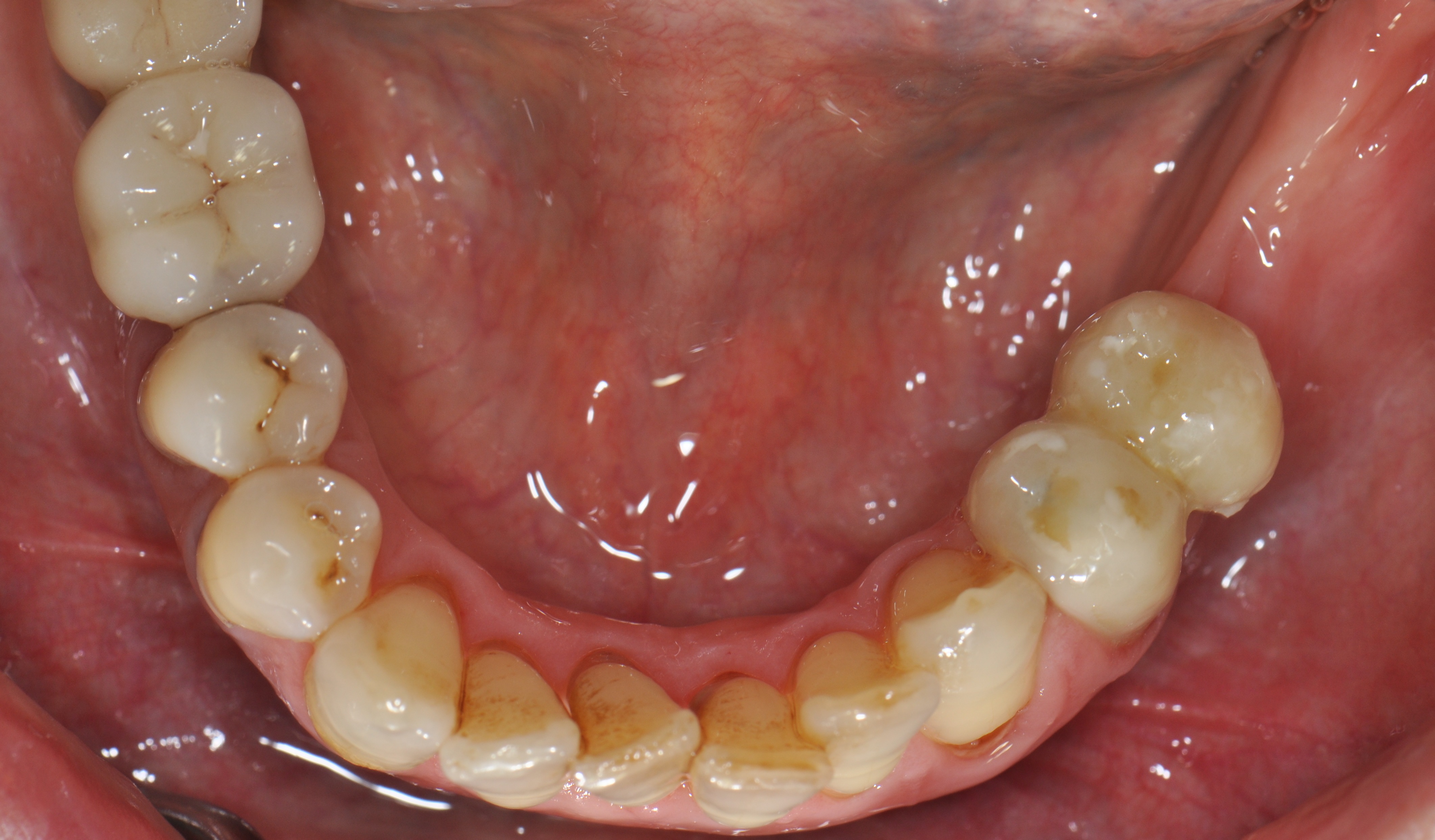
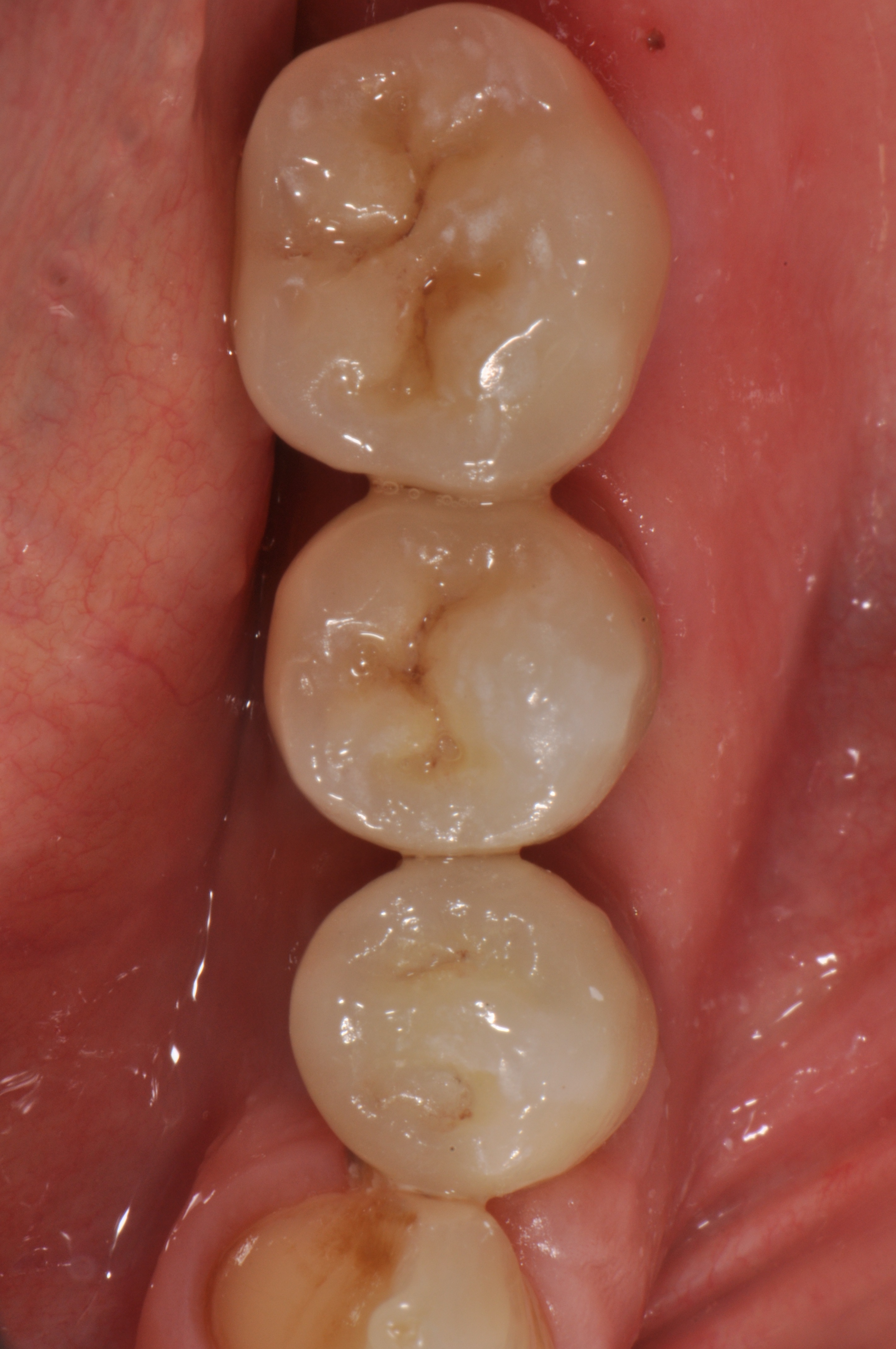
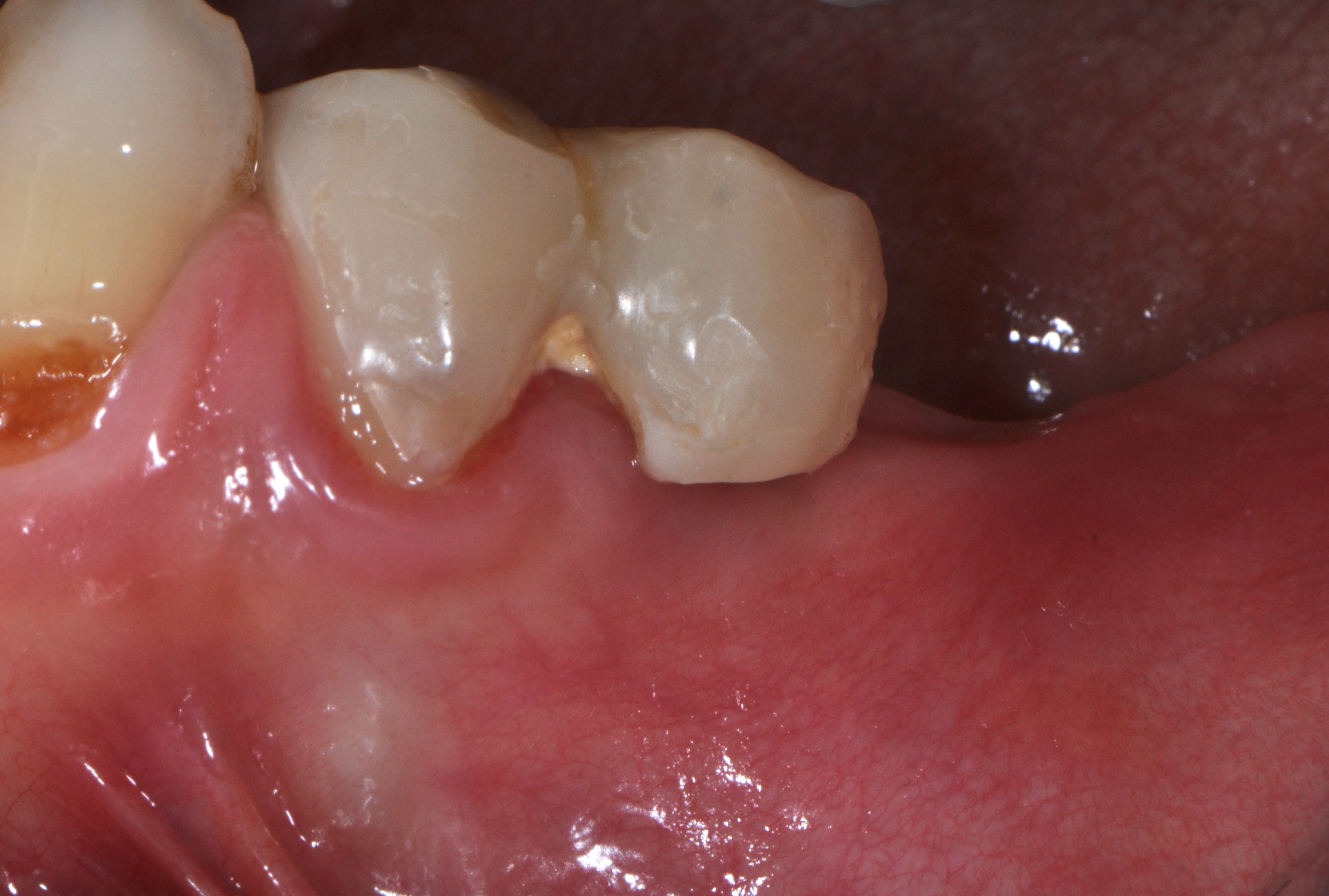
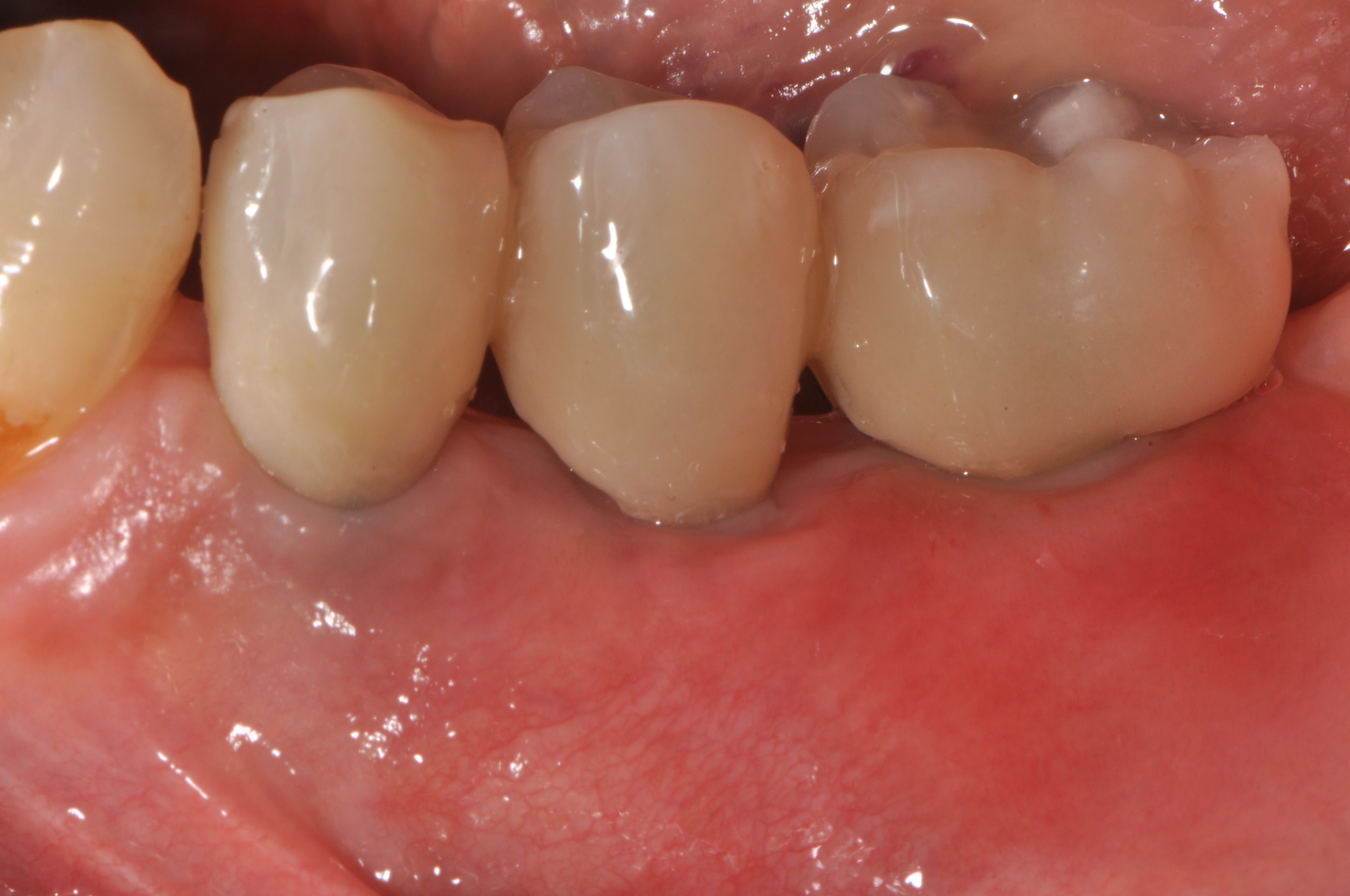
A 52-year-old patient is a referral and has been wearing an immediate provisional partial denture after replacement of her worn and fractured fixed partial denture. As a definitive treatment solution, the patient desired "beautiful and long-lasting" implant-supported single crowns. Clinically the CT-scan revealed a very narrow bone crest ("knife-edge") in the 3rd quadrant. Implant placement has been planned with a simultaneous GBR procedure.
Evaluation & Diagnosis
Treatment Planning
Progress & Completion
Follow-Up & Outcome
Questions
Ask a questionTeam members
Periodontist
Log in or sign up to continue
You have reached the limit of content accessible without log in or this content requires log in. Log in or sign up now to get unlimited access to all FOR online resources.
No payments necessary - FOR is completely free of charge.